2025 AI Readiness Report: Survey Insights on Enterprise AI Maturity – Now Available!
By Nikki Manthey | 2024 May 03

5 min
Tags
webviewer
healthcare
dicom
medical imaging
At Apryse, innovation is in our DNA. Heck, it's right in our tagline: Made better. Recently, we wanted to find out what would happen if some of the brightest minds from across the company were given free rein to make our products better. The result? Apryse Innovation Days.
The competition this year was fierce, and the ideas strong. Ultimately, three teams came out on top: Team Connect in third place, The Integrators in second place, and The Hackstreet Boys coming in at number one (not just for their team name).
This blog post highlights the achievement of our second place winners, The Integrators, who successfully integrated LEADTOOLS’ DICOM medical imaging features into Apryse WebViewer. This project enables users to view and manipulate medical images directly in WebViewer, so healthcare professionals can combine document and imaging tasks into one streamlined workflow.
Let’s learn more! Plus, be sure to explore the projects from Team Connect and The Hackstreet Boys.
To highlight just how cool The Integrators’ project is, here’s a quick primer on Apryse WebViewer. Put simply, it’s a customizable JavaScript-based document SDK (software development kit) that enables you to render, convert, edit, annotate, and collaborate in real-time on PDFs, documents, images, and more.
Like the name suggests, WebViewer is usually embedded in web applications, so you don’t have to download any extra software to use it. It’s compatible with all developer frameworks and browsers, so it works on devices medical teams are already using. Plus, it supports 30+ file formats.
Pretty neat, right? Though WebViewer is a powerful and handy tool, The Integrators highlighted one area where there’s room for improvement: Viewing and manipulation of DICOM medical imaging files.
Before we dive into the intricacies of integration, let’s briefly go over what DICOM is. DICOM (or Digital Imaging and Communications in Medicine) is a standard for handling, storing, and transmitting medical imaging information.
More than an image: In addition to the images themselves, DICOM files contain detailed information called tags. These include patient details, scan parameters, diagnostic data, and more.
A standardized format: Much like the way PDFs ensure a consistent document viewing experience, DICOM standardizes the way medical images are viewed and interpreted across different systems and environments.
Secure and private: DICOM file specs also contain protocols for security, which ensures transmission of medical data only happens over secure channels. This is essential for meeting compliance requirements like HIPAA in the US. In fact, the DICOM format is the most trusted standard in healthcare industries worldwide.

Now that we’ve covered the two main players in this project, let’s answer the question: Why did The Integrators want to (as their name suggests) integrate WebViewer and DICOM functionality?
Medical Data by the Numbers
As populations age, the drive for new medical technology is only increasing. And the thing about advanced medical imaging technology is that it generates a lot of data. As in, an obscene amount of data. Between 2020 and 2025, the total amount of global healthcare data is expected to rise from 2,300 to 10,800 exabytes. Doesn’t sound like a lot? To put it into perspective, a single exabyte is equal to a whopping one million terabytes (TB).
And this veritable ocean of data is mostly made up of medical imaging. In fact, 90% of all healthcare data comes from imaging tech.
Now that we’ve got all this data, how do we do something productive with it? There are a lot of valuable insights that can be unlocked for the multitude of industries that rely on medical data. But to do that, the data itself has got to be easy to use and interact with. That’s where Apryse comes in.
Current Product Limitations
Establishing workflows around how to extract meaningful insights from the load of medical imaging data is, as you might imagine, a huge task. And unfortunately, Apryse and LEAD’s current products aren’t equipped to cover those workflows end to end.
As powerful as WebViewer is, it’s not quite there when it comes to loading and viewing certain medical imaging formats. Key aspects like DICOM tags are missing, and it doesn’t provide the required image manipulation and filtering functionality. LEADTOOLS’ Medical Web Viewer can load all the necessary medical imaging data and use it.
Integration provides the best of both worlds. This Innovation Days project is just the beginning of what’s possible with further integration.
Obviously, full integration of WebViewer and LEADTOOLS' Medical Web Viewer is a project that would take much longer than just a few days. However, The Integrators achieved quite a lot in that short time span. Let’s look at the results.
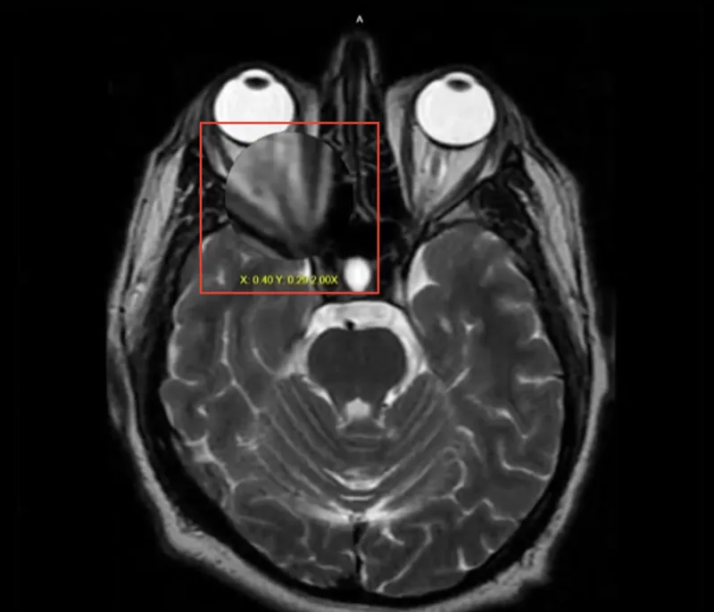
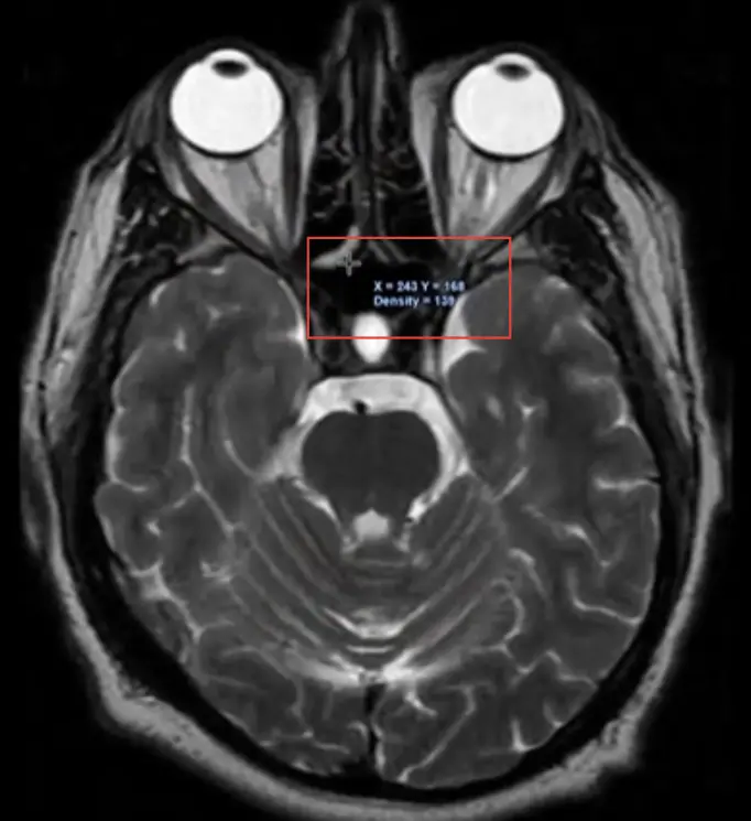
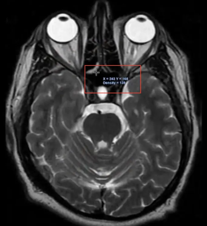
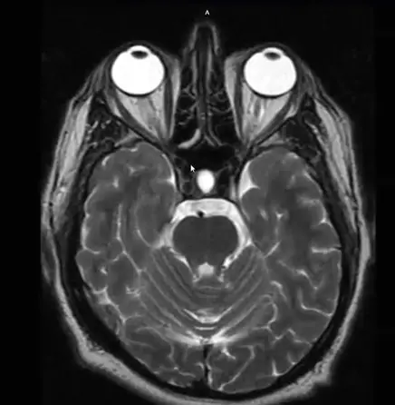
As you can see in the image below, Apryse WebViewer is now displaying a medical scan. The highlighted information at the scan's edges is more than just part of the image – it's those important DICOM tags being pulled from the dataset.

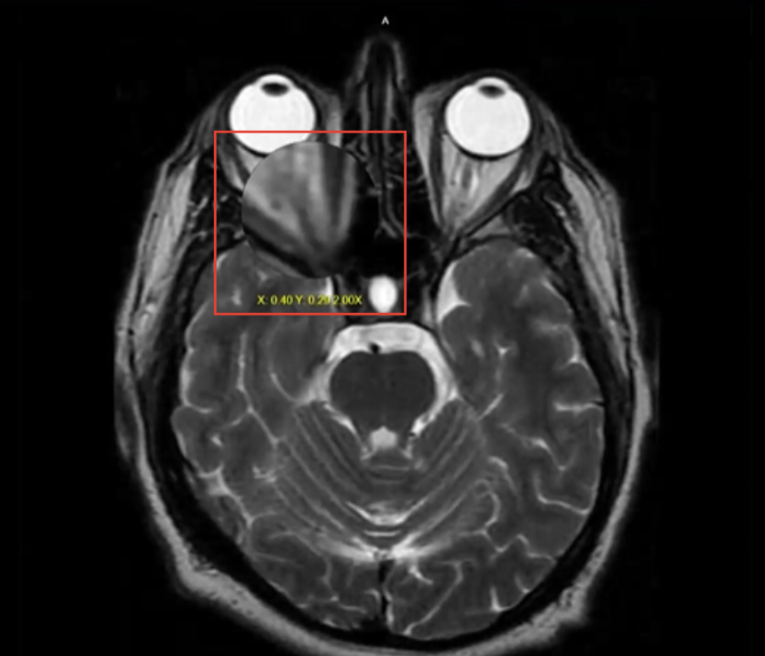
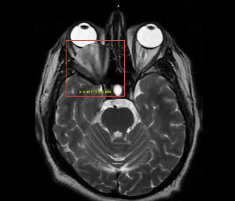
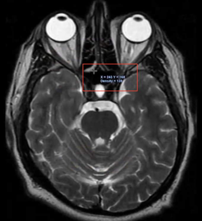
The Integrators also added three of LEADTOOLS' image manipulation tools to WebViewer.
The Spyglass Tool: This enables users to highlight specific parts of the image and view them in greater detail.

The Probe Tool: This gives the density of each pixel in the image, depending on where you’re clicking.

The Window Level Tool: This lets users adjust the contrast and brightness to highlight different densities in the scan. Note how the image below is lighter than the previous images in this blog.

This project only scratches the surface of what’s possible for the future of medical imaging data and Apryse WebViewer. There are a host of future possibilities, including the ability to generate PDF reports from DICOM data, enhanced clinical document architecture, native DICOM viewing across apps, and much more.
With innovators like The Integrators at the forefront, we can’t wait to see what’s next!
Learn how WebViewer enhances interprofessional collaboration in healthcare.
Though we don’t currently offer the level of medical imaging viewing and manipulation demonstrated in The Integrators’ Innovation Days project, Apryse WebViewer does have a ton of cool document processing features to explore. Head over to the showcase to try it yourself, or check out our other healthcare solutions. If you’d like to talk tech with our Solutions Engineers, you can find them on Discord.
Note: The projects covered here and in the other Innovation Days blog posts are not currently in product development. They are prototypes created specifically for this event. If you'd like to request the features you see here, you can fill out this form. Or, feel free to reach out to your CSM directly.
Tags
webviewer
healthcare
dicom
medical imaging

Nikki Manthey
Share this post

2025 Dec 03

2025 Oct 16

2025 Jul 16
PRODUCTS
Platform Integrations
End User Applications
Popular Content